Skip to content
Patient Portal
Payments
Patient Portal
Payments
Follow Us :
Facebook-f
Twitter
Instagram
Tiktok
Home
Our Services
Meet Our Team
Patient Information
Patient Forms
Patient portal instructions
Foot Conditions
Insurance Accepted
Podiatrist Recommended Products to Purchase
Media
Videos
Before & After Pictures
Blog
Contact Us
Home
Our Services
Meet Our Team
Patient Information
Patient Forms
Patient portal instructions
Foot Conditions
Insurance Accepted
Podiatrist Recommended Products to Purchase
Media
Videos
Before & After Pictures
Blog
Contact Us
(760) 565-5545
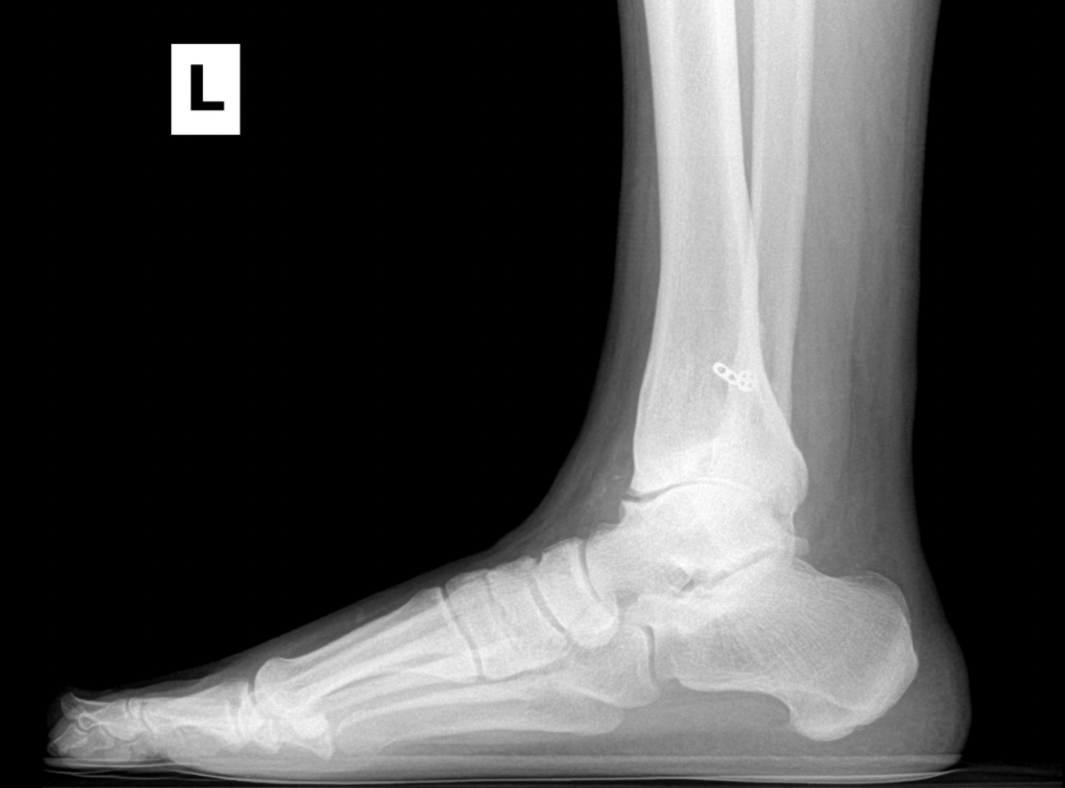
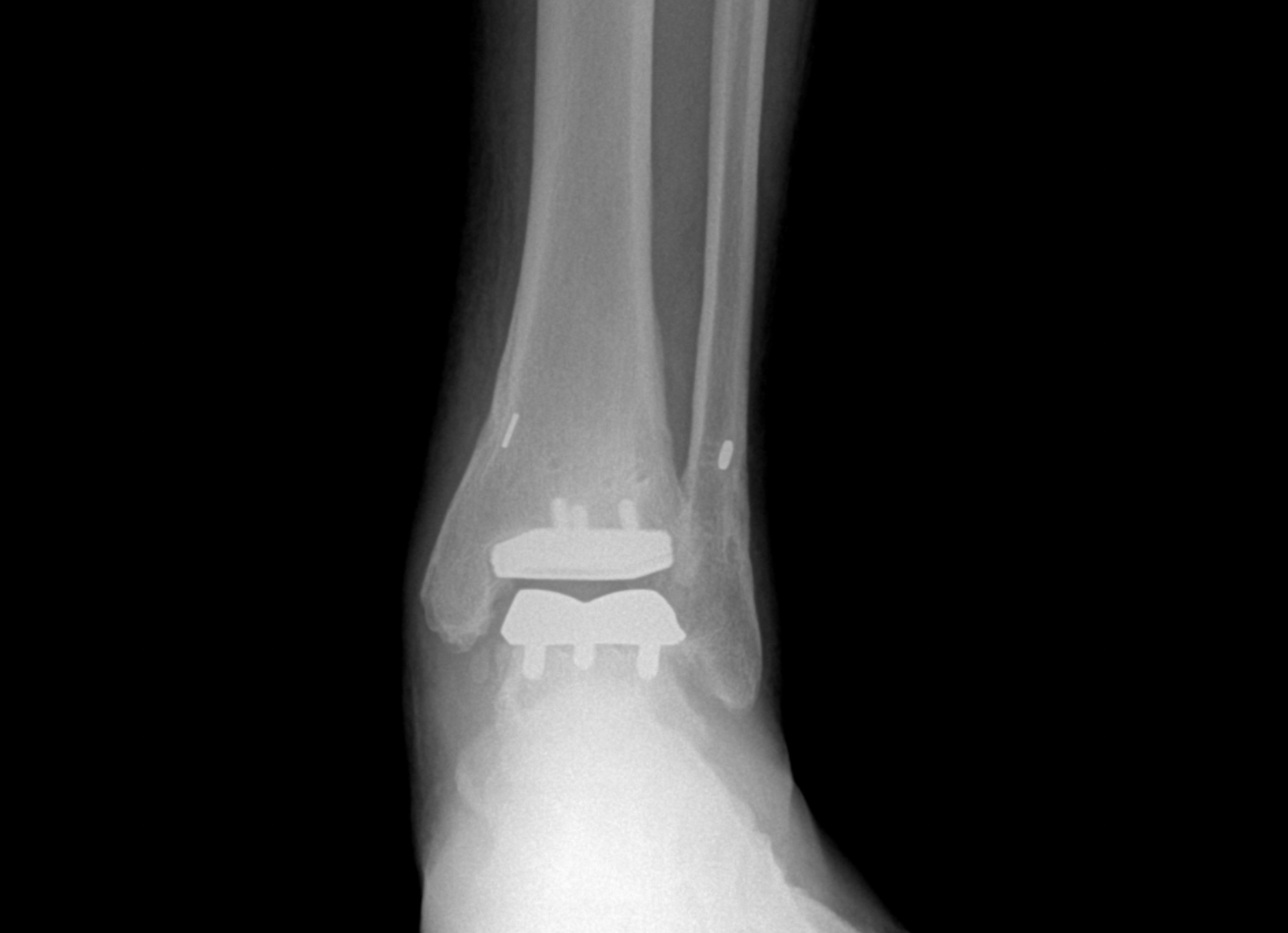
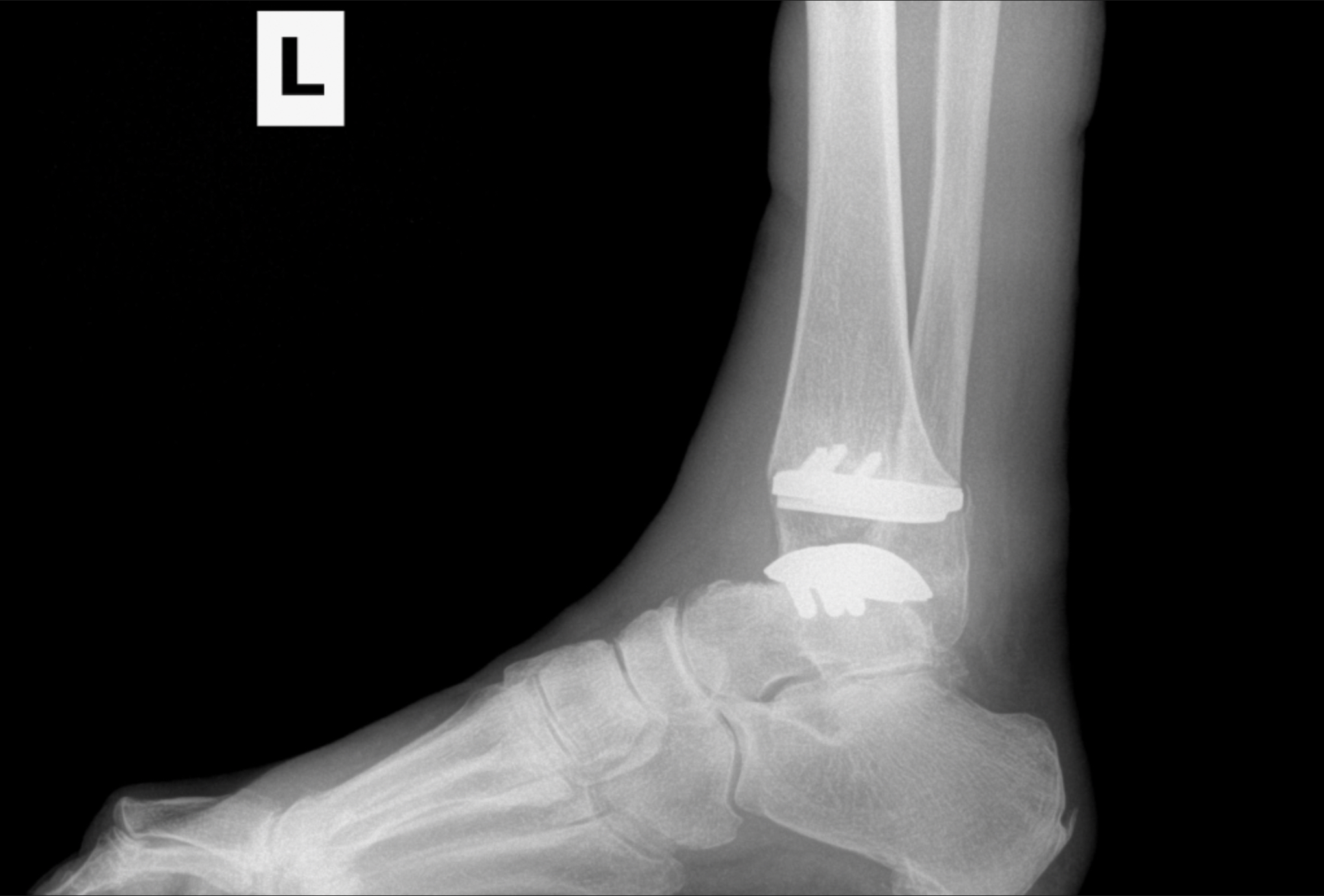
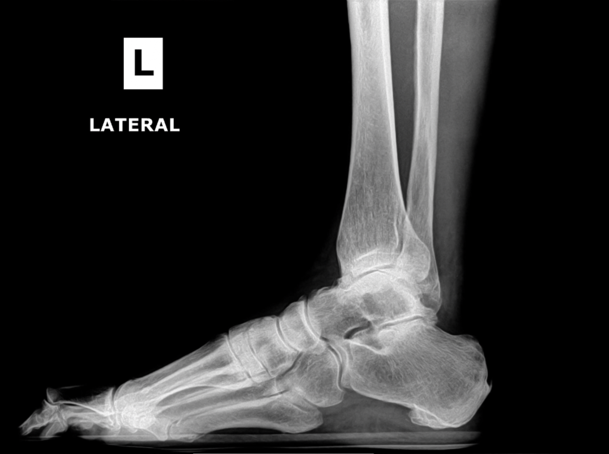
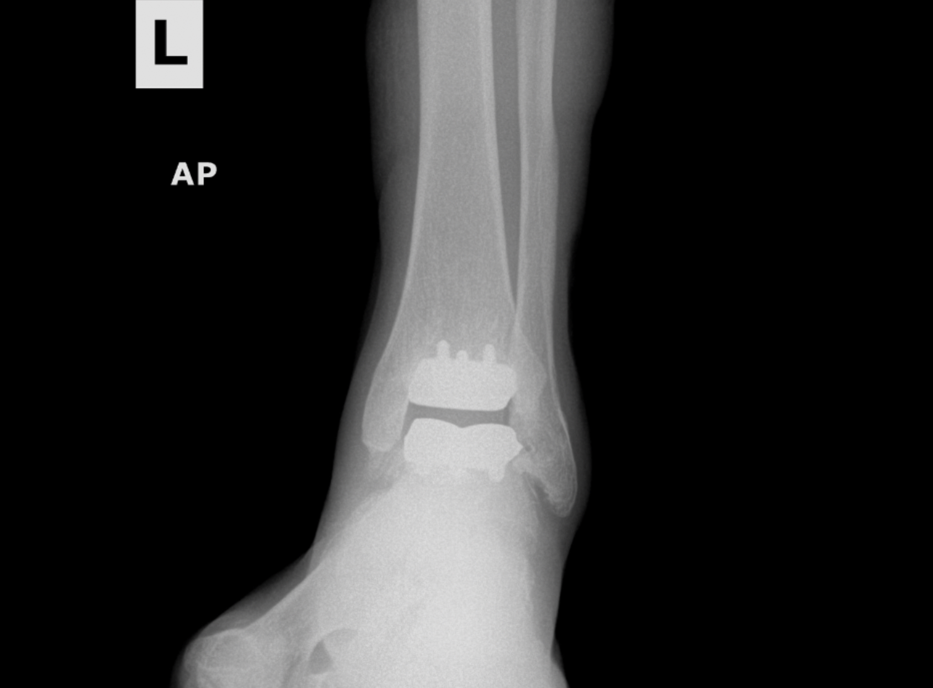
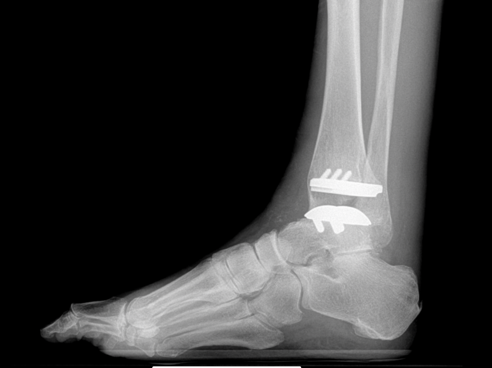
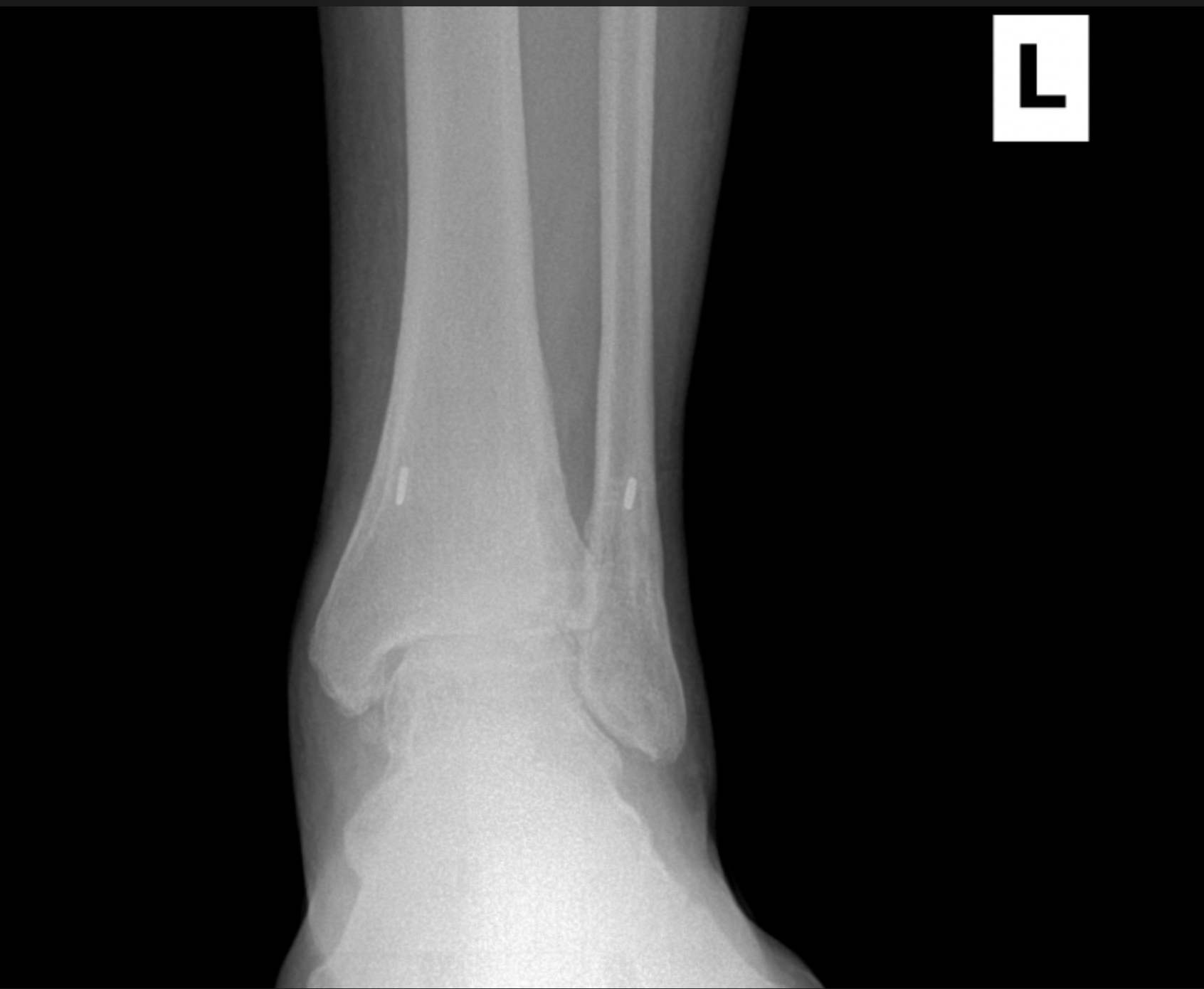
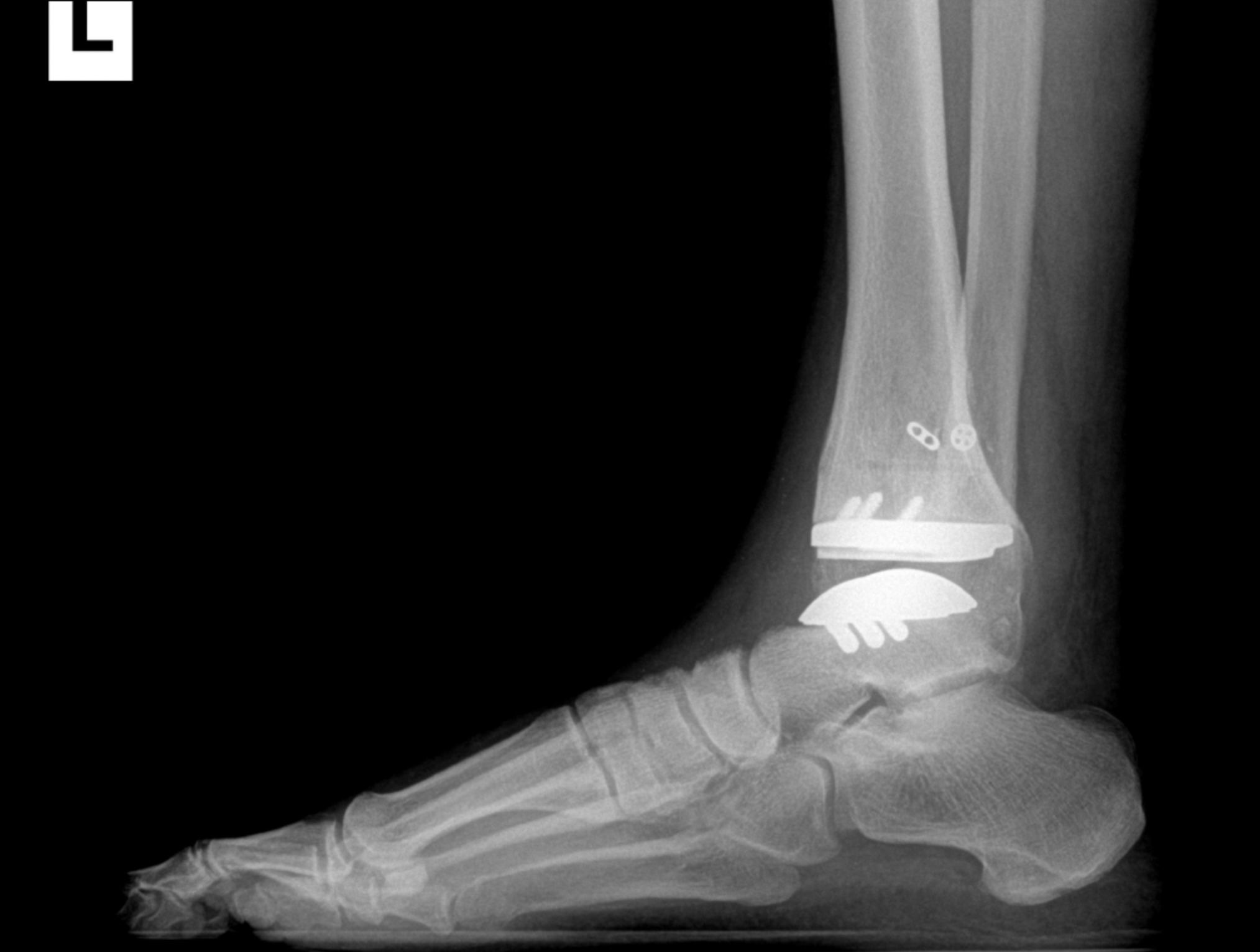
Foot & Ankle Replacement
Home
Foot & Ankle Replacement
Foot & Ankle Replacement
Coming Soon
Request An Appointment
Ready to take the first step toward healthier feet? Use the form below to request an appointment with our experienced team—we’ll be in touch shortly to confirm your visit.
Name
Email
Phone
Message
Send